Working Time
- Mon - Sat: 9 AM - 4 PM
Sun : 9 AM - 2 PM
Contact Info
-
Phone: 9990507691, 9811892896
- srivastavamri@gmail.com
Ask the Experts
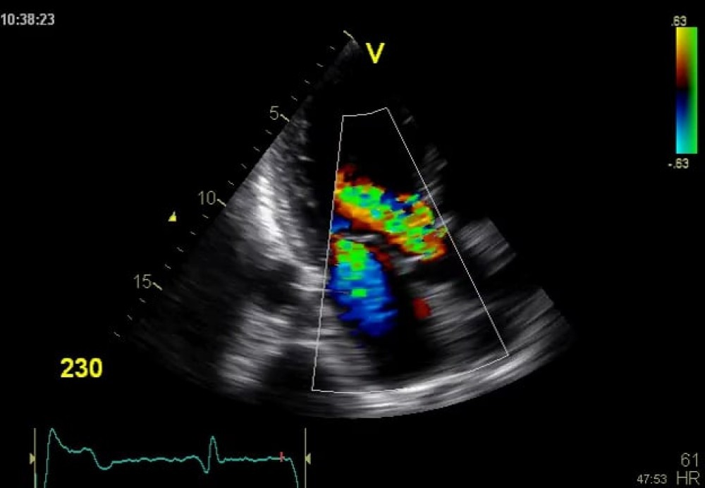
COLOR DOPPLER

The Color Doppler Ultrasound is a procedure in which high-frequency sound waves is used to estimate the blood flow through your arteries and veins that supply blood to your legs and arms. It is not as same as a regular ultrasound that uses sound waves to generate images but can’t show blood flow. This procedure is risk-free and pain-free.
The Color Doppler can also disclose the choked or reduced blood flow through narrowed areas in the arteries, which could ultimately lead to a stroke. This test provides all important information to your doctor regarding the flow of your blood through your major arteries and veins.
WHY IS IT DONE?
A Doppler Ultrasound test may also help your doctor to check whether there are any blockages or other irregularities or to monitor certain treatment to your veins and arteries. A Color Doppler may help to analysis or diagnose many conditions such as:
- Blood clots
- Blood vessel damage
- Poorly functioning valves in your legs
- Heart valve defects
- Vascular tumors in the legs
- Congenital heart disease
- Blocked arteries
- Aneurysms
- Carotid Stenosis
- Change in blood flow during pregnancy or after any surgery
HOW IS IT DONE?
Before going to the exam, your doctor may ask you to wear the hospital gown. You can leave your jewelry at home or you’ll have to remove it from that area to be scanned. After that, you will likely to lying down on a table on your back. Our expert will apply a special lubricating gel to the scanned part of the body. This helps the sound waves to travel and gives a better and accurate result.
Later the expert press the small device looks like a microphone or a wand against your skin. That small device sends sound waves into your body and then that waves bounces off scanned part backed to the computer. The sound waves are converted into the moving image that you can easily see on the computer screen. After the test, the gel is wiped out and you are all set. The overall time the test usually takes 30-60 minutes.
Tips before going to the procedure:
- If your belly is being examined, you may be told to fast for approx. 6-12 hours before the test.
- If your pelvic area is being examined, you may be told to drink 32 ounce of water one hour before the test.
- Remove all your jewellery before going to the scan.